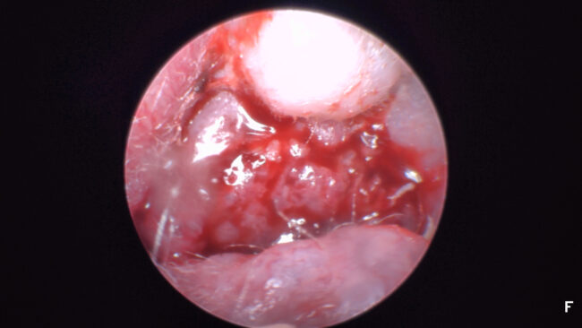
Otoendoscopie 11 : Carcinome Epidermoïde
Les carcinomes de l’oreille moyenne sont des tumeurs assez peu fréquentes mais toujours très délabrantes. L’examen otoscopique ou otoendoscopique est insuffisant pour en évaluer l’ampleur. L’imagerie en coupe est toujours nécessaire. L’occasion de rappeler que, chez le chat, une otite externe suppurée est quasi systématiquement l’expression du développement d’une néoformation (polype, tumeur) de l’oreille moyenne…


